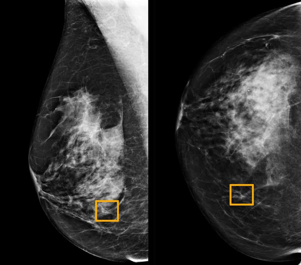
Telset.id, Jakarta Ā ā Ahli radiologi menyebut, sistem kecerdasan buatan atau artificial intelligence atau AI Google bisa membantu deteksi kanker payudara lewat screening mammogram. Bahkan, akurasinya dinilai sangat tinggi.
Seperti dilansir Reuters, dalam studi yang diterbitkan di jurnal Nature pada Rabu (1/1/2020) waktu setempat, AI Google memiliki potensi untuk meningkatkan akurasi skrining kanker payudara yang diidap oleh banyak perempuan.
{Baca juga: Demi SIRI, Apple Bajak Pentolan AI Google}
Menurut American Cancer Society, ahli radiologi telah melewatkan sekitar 20 persen skrining mammogram kanker payudara. Dalam 10 tahun terakhir, hasil skrining terhadap separuh dari semua perempuan adalah positif palsu.
Temuan penelitian tersebut dikembangkan dengan unit DeepMind AI milik Alphabet, yang bergabung dengan Google Health pada September 2019. Hasilnya, ada kemajuan besar dalam potensi deteksi dini kanker payudara.
Seperti dikutip Telset.id, Kamis (2/1/2020), tim para ahli, termasuk peneliti di Imperial College London dan National Health Service Inggris, melatih sistem itu untuk mengidentifikasi kanker payudara ke puluhan ribu mammogram.
Mereka kemudian membandingkan kinerja sistem dengan hasil aktual dari 25.856 mammogram di Inggris dan 3.097 di Amerika Serikat. Studi menunjukkan, sistem AI dapat mengidentifikasi kanker dengan tingkat akurasi tinggi.
{Baca juga: Prototipe Penerjemah AI Google Tiru Persis Suara Kamu}
Keakurasiannya sama dengan ahli radiologi. Fakta tersebut membantu mengurangi jumlah hasil positif palsu sebesar 5,7 persen untuk kelompok berbasis di Amerika Serikat dan 1,2 persen untuk kelompok berbasis di Inggris. [SN/HBS]
Sumber: Reuters




