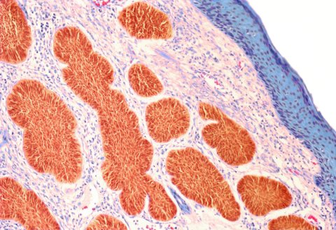
Telset.id,Jakarta – Para ilmuwan di Jerman, Prancis, dan Amerika telah ‘melatih’ komputer agar dapat mengidentifikasi atau melacak kanker kulit dengan menunjukan lebih dari 100.000 gambar melanoma ganas dan tahi lalat jinak.
Berdasarkan penelitian yang diterbitkan dalam jurnal Annals of Oncology, ditemukan bahwa convolutional neural network (CNN) lebih akurat dalam mendiagnosis melanoma dan penyakit kanker jinak bila dibandingkan sekelompok pakar dermatologists.
Mesin yang dilengkapi dengan AI ini dapat mengidentifikasi dan memahami apa yang dilihat dalam gambar, sehingga dengan cepat mengetahui perbedaan antara tahi lalat yang ganas dan jinak.
{Baca juga: Di Tangan Ilmuwan, Ponsel Bisa jadi Mikroskop}
Penulis pertama studi ini, Profesor Holger Haenssle, dokter senior di Departemen Dermatologi di University of Heidelberg di Jerman, mengatakan, CNN bekerja seperti otak seorang anak.
“Untuk melatihnya, kami menunjukkan CNN lebih dari 100.000 gambar kanker dan tahi lalat kulit ganas dan jinak dan menunjukkan diagnosis untuk setiap gambar. Hanya gambar dermoscopic yang digunakan – yaitu lesi yang dicitrakan pada pembesaran 10 kali lipat,” katanya.
Dengan setiap gambar dalam pelatihan itu, CNN meningkatkan kemampuannya dalam membedakan antara kanker jinak dan ganas.
Temuan ini menunjukkan, meski CNN masih dalam tahap pembelajaran namun mampu mengalahkan dermatologists, termasuk ahli yang terlatih secara ekstensif, dalam tugas mendeteksi melanoma.
Para peneliti berpendapat bahwa, untuk saat ini, temuan tersebut belum dapat menggantikan pemeriksaan klinis menyeluruh. Masih banyak yang harus diperbaiki agar teknologi ini dapat digunakan dalam perawatan medis sehari-hari.
Sebelumnya, para ilmuwan Jepang sedang merancang komputer yang bisa bikin meme atau gambar-gambar dengan tulisan lucu. Bahkan, komputer ini dapat membuat komik modern yang paling sederhana menjadi tampak lucu.
{Baca juga: Harvard Batal Loloskan 10 Calon Mahasiswa Karena Meme}
Para ilmuwan di Jepang ingin melihat apakah komputer dapat diprogram untuk menghasilkan tawa, yang selama ini merupakan fungsi khusus yang hanya dimiliki manusia.
Caranya, para ilmuwan melatih jaringan saraf tiruan dengan memaparkan ratusan meme dari situs web Reddit versi Jepang yang disebut Bokete Ogiri.
Komputer ini akan belajar seperti apa lelucon yang dianggap lucu dengan menganalisis peringkat bintang yang diberikan pada suatu meme, sebelum secara otomatis memproduksi lelucon sendiri. [BA/HBS]
Sumber:Â Metro.co.uk

